Die Analyse des Karyogramms Trisomie 21 spielt eine entscheidende Rolle in der modernen Diagnostik von genetischen Erkrankungen. In diesem Artikel werden wir die wichtigsten Aspekte und die Bedeutung dieser Analyse näher beleuchten. Wir verstehen, dass das Karyogramm nicht nur ein einfacher Chromosomensatz ist sondern auch tiefere Einblicke in genetische Anomalien ermöglicht.
Durch die Identifizierung von Trisomie 21 können wir frühzeitig Maßnahmen ergreifen und betroffenen Familien wertvolle Informationen bieten. Wie beeinflusst diese Diagnose das Leben der Betroffenen? Indem wir uns mit den medizinischen, sozialen und emotionalen Aspekten auseinandersetzen, möchten wir Ihnen einen umfassenden Überblick über das Thema geben. Lassen Sie uns gemeinsam herausfinden, was hinter dem Karyogramm Trisomie 21 steckt und welche Auswirkungen es auf Diagnosen hat.
Karyogramm Trisomie 21 und seine Rolle in der Diagnostik
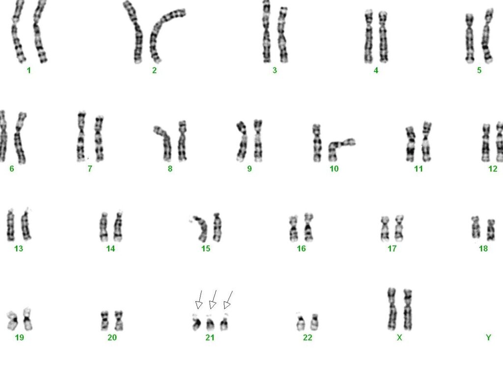
Das Karyogramm spielt eine entscheidende Rolle in der Diagnostik der Trisomie 21, auch bekannt als Down-Syndrom. Durch die Analyse des Karyotyps können wir nicht nur das Vorhandensein von Chromosomenanomalien feststellen, sondern auch wichtige Informationen über die genetische Ausstattung eines Individuums erhalten. Insbesondere bei Verdacht auf Trisomie 21 ermöglicht uns das Karyogramm, die Anzahl und Struktur der Chromosomen visuell zu erfassen und so eine präzise Diagnose zu stellen.
Bedeutung des Karyogramms
Ein Karyogramm bietet einen umfassenden Überblick über alle 46 Chromosomen eines Menschen. Bei einer normalen Analyse sind diese in 23 Paare unterteilt. Im Falle der Trisomie 21 erkennen wir jedoch ein zusätzliches Chromosom 21, was zu insgesamt 47 Chromosomen führt. Diese chromosomale Abweichung ist für viele der typischen Merkmale und Symptome verantwortlich, die mit dieser Erkrankung verbunden sind.
Die diagnostische Relevanz des Karyogramms zeigt sich insbesondere durch folgende Vorteile:
- Frühe Erkennung: Ein frühzeitiges Erkennen von Trisomie 21 kann Eltern ermöglichen, informierte Entscheidungen bezüglich pränataler Betreuung und möglicher Interventionen zu treffen.
- Eindeutige Diagnosen: Das Karyogramm liefert klare Beweise für chromosomale Anomalien und minimiert somit Unsicherheiten in der Diagnostik.
- Genetische Beratung: Die Ergebnisse des Karyotyps unterstützen Ärzte dabei, betroffenen Familien gezielte Informationen und Beratungen anzubieten.
Verfahren zur Erstellung eines Karyogramms
Um ein aussagekräftiges Karyogramm zu erstellen, wird normalerweise eine Blutprobe entnommen. Anschließend erfolgt die Zellkultur zur Gewinnung einer ausreichenden Anzahl von Zellen für die Analyse. Nach dem Färben werden die Chromosomen fotografiert und entsprechend angeordnet, um Anomalien wie bei der Trisomie 21 sichtbar zu machen.
Diese Methode ist nicht nur wichtig für postnatale Diagnosen; sie findet auch Anwendung in verschiedenen pränatalen Untersuchungsverfahren. In Kombination mit anderen Tests kann das Karyogramm dazu beitragen, potenzielle Risiken frühzeitig zu identifizieren.
Insgesamt ist das karyogramm trisomie 21 ein unverzichtbares Werkzeug in der modernen Medizin zur Identifikation genetischer Störungen und stellt sicher, dass betroffene Personen sowohl medizinisch als auch psychosozial optimal unterstützt werden können.
Genetische Grundlagen der Trisomie 21
Die genetischen Grundlagen der Trisomie 21 sind komplex und haben bedeutende Implikationen für das Verständnis dieser chromosomalen Anomalie. Trisomie 21 resultiert aus einer fehlerhaften Zellteilung, die als nondisjunction bezeichnet wird. In diesem Prozess trennen sich die Chromosomen während der Meiose nicht korrekt, was zu einer zusätzlichen Kopie des Chromosoms 21 führt. Dies hat zur Folge, dass betroffene Individuen insgesamt 47 Chromosomen besitzen, anstelle der üblichen 46.
Die genaue Ursache dieser Nondisjunction ist oft unbekannt, jedoch gibt es einige Risikofaktoren. Dazu gehören:
- Alter der Mutter: Das Risiko für Trisomie 21 steigt mit dem Alter der Mutter, insbesondere ab einem Alter von 35 Jahren.
- Genetische Faktoren: In seltenen Fällen kann eine familiäre Vorbelastung oder bestimmte genetische Bedingungen das Risiko erhöhen.
Um die genetischen Aspekte weiter zu beleuchten, betrachten wir auch zwei Haupttypen von Trisomie 21:
- Freie Trisomie: Diese Form tritt auf, wenn alle Zellen im Körper zusätzlich ein Chromosom 21 enthalten.
- Mosaik-Trisomie: Hierbei sind nur ein Teil der Zellen betroffen und weisen die zusätzliche Kopie des Chromosoms auf. Diese Variante kann oft mildere Symptome hervorrufen.
Zusätzlich zu den chromosomalen Veränderungen hat die Forschung gezeigt, dass bestimmte Gene auf dem Chromosom 21 mit den charakteristischen Merkmalen des Down-Syndroms assoziiert sind. Zu diesen Genen zählen beispielsweise das DSCR1-Gen und das APP-Gen (Amyloid-Vorläuferprotein), welche beide in biologischen Prozessen wie neurokognitiver Entwicklung involviert sind.
Die Erkenntnisse über diese genetischen Grundlagen ermöglichen es uns, fundierte Entscheidungen hinsichtlich Diagnosen und Behandlungsansätzen bei Personen mit Trisomie 21 zu treffen. Ein vertieftes Verständnis unterstützt auch unsere Bemühungen um Aufklärung und Sensibilisierung in der Gesellschaft bezüglich dieser Erkrankung.
Typische Merkmale und Symptome bei Betroffenen
Bei Personen mit Trisomie 21 zeigen sich eine Vielzahl typischer Merkmale und Symptome, die sich sowohl auf körperliche als auch auf kognitive Aspekte erstrecken. Diese charakteristischen Eigenschaften sind oft hilfreich für die frühzeitige Diagnose und das Verständnis der Erkrankung. Zu den häufigsten physischen Merkmalen zählen:
- Flaches Gesicht: Besonders ausgeprägt ist das flache Profil.
- Mandelförmige Augen: Die Augen haben häufig eine schräg angelegte Form mit einem charakteristischen Hautfalten (Epikanthus).
- Kleine Ohren: Im Vergleich zu anderen Kindern sind die Ohren oft kleiner und weniger auffällig.
- Kurzer Hals: Ein verkürzter Hals kann ebenfalls beobachtet werden.
- Breite Hände und Füße: Die Gliedmaßen zeigen oft eine breitere Form, während die Finger kurz sein können.
Zusätzlich zu diesen physischen Merkmalen gibt es auch kognitive Herausforderungen, die bei Betroffenen variieren können. Eine häufige Erscheinung ist:
Kognitive Beeinträchtigungen
Die meisten Menschen mit Trisomie 21 haben Lernschwierigkeiten, deren Schweregrad jedoch stark variieren kann. Einige Aspekte dieser kognitiven Beeinträchtigung umfassen:
- Verzögerte Sprachentwicklung: Viele Kinder beginnen später mit dem Sprechen und benötigen Unterstützung in der sprachlichen Kommunikation.
- Eingeschränkte Problemlösungsfähigkeiten: Komplexe Aufgabenstellungen können für sie herausfordernd sein, weshalb einfache Anweisungen bevorzugt werden sollten.
Trotz dieser Herausforderungen genießen viele Betroffene ein erfülltes Leben. Unterstützende Maßnahmen wie Frühförderung, Therapien sowie Schulbildung sind entscheidend für ihre Entwicklung.
Gesundheitliche Probleme
Neben den oben genannten Merkmalen gibt es gesundheitliche Komplikationen, die bei Personen mit Trisomie 21 häufiger auftreten können:
| Gesundheitsproblem | Häufigkeit (%) |
|---|---|
| Herzfehler | 40-50 |
| Hörverlust | 60 |
| Schilddrüsenerkrankungen | 15-30 |
Es ist wichtig zu beachten, dass regelmäßige medizinische Untersuchungen notwendig sind, um potenzielle gesundheitliche Probleme frühzeitig zu erkennen und entsprechend zu behandeln.
Durch diese umfassende Betrachtung der typischen Merkmale und Symptome von Personen mit Trisomie 21 wird deutlich, dass eine frühe Diagnostik durch ein Karyogramm von großer Bedeutung ist. So kann rechtzeitig interveniert werden, um individuelle Unterstützung anzubieten und die Lebensqualität der Betroffenen zu verbessern.
Diagnoseverfahren zur Feststellung von Chromosomenanomalien
Die Diagnose von Chromosomenanomalien, insbesondere bei Verdacht auf Trisomie 21, erfordert präzise und fundierte Analyseverfahren. Zu den gängigsten Methoden zählen die karyotypische Analyse, die Molekulargenetik sowie spezifische Screening-Tests. Diese Verfahren ermöglichen es uns, genetische Abweichungen frühzeitig zu identifizieren und entsprechende Maßnahmen einzuleiten.
Karyotypisierung
Die Karyotypisierung ist das zentrale . Bei diesem Verfahren wird eine Probe von Körperzellen entnommen, meist aus dem Blut oder dem Fruchtwasser. Die Zellen werden dann in der Teilungsphase betrachtet, um ein karyogramm zu erstellen. Hierbei analysieren wir die Anzahl und Struktur der Chromosomen:
- Normaler Karyotyp: 46 Chromosomen (23 Paar)
- Karyotyp bei Trisomie 21: 47 Chromosomen mit einem zusätzlichen Chromosom 21
Diese visuelle Darstellung erlaubt es uns, Anomalien sofort zu erkennen.
Molekulargenetische Tests
Zusätzlich zur traditionellen Karyotypisierung bieten molekulargenetische Tests wie FISH (Fluoreszenz-in-situ-Hybridisierung) eine gezielte Analyse. Mit diesen Techniken können wir spezifisch nach dem zusätzlichen Chromosom suchen und genauere Informationen über genetische Veränderungen erhalten.
Pränatale Diagnostik
In der pränatalen Diagnostik setzen Ärzte häufig nicht-invasive Verfahren wie den Nackenfaltenmessungstest ein. Dieser Test misst die Dicke der Nackenfalte des Fötus im Ultraschall und kann Hinweise auf mögliche chromosomale Anomalien geben. Kombiniert man diese Ergebnisse mit Blutuntersuchungen zur Bestimmung biochemischer Marker, erhöht sich die Genauigkeit unserer Diagnosen erheblich.
Durch den Einsatz dieser verschiedenen Diagnoseverfahren sind wir in der Lage, Trisomie 21 zuverlässig festzustellen und betroffenen Familien wertvolle Informationen bereitzustellen.
Bedeutung des Karyogramms für die pränatale Diagnostik
Das Karyogramm spielt eine entscheidende Rolle in der pränatalen Diagnostik, insbesondere bei der Identifizierung von Trisomie 21. Durch die Erstellung eines Karyogramms können wir nicht nur die Anzahl der Chromosomen überprüfen, sondern auch deren Struktur analysieren. Dies ist besonders wichtig, da chromosomale Aberrationen oft mit verschiedenen gesundheitlichen Risiken für den Fötus verbunden sind. Eine frühzeitige Diagnose ermöglicht es uns, betroffenen Familien gezielte Informationen und Optionen anzubieten.
Vorteile des Karyogramms in der pränatalen Diagnostik
Die Verwendung des Karyogramms bietet mehrere Vorteile:
- Schnelle Identifikation: Anomalien wie Trisomie 21 können innerhalb weniger Tage erkannt werden.
- Visuelle Klarheit: Die grafische Darstellung erleichtert das Verständnis komplexer genetischer Informationen.
- Entscheidungsfindung: Familien erhalten verlässliche Daten zur Planung weiterer Schritte und Entscheidungen während der Schwangerschaft.
Kombination mit anderen Verfahren
In vielen Fällen wird das Karyogramm in Kombination mit anderen diagnostischen Methoden eingesetzt. Beispielsweise kann die Nackenfaltenmessung wertvolle Hinweise liefern, die dann durch ein karyotypisches Screening bestätigt werden. Diese synergistische Vorgehensweise erhöht die Genauigkeit unserer Diagnosen erheblich und gibt Eltern mehr Sicherheit über den Gesundheitszustand ihres ungeborenen Kindes.
| Methode | Bedeutung |
|---|---|
| Karyotypisierung | Zentrale Methode zur Analyse von Chromosomenanomalien |
| Nackenfaltenmessung | Screentest zur ersten Risikoeinschätzung |
| Molekulargenetische Tests (z.B. FISH) | Detaillierte Analyse spezifischer genetischer Veränderungen |
Daher ist das Karyogramm nicht nur eine technische Analyse, sondern ein unerlässliches Instrument, um informierte Entscheidungen im Rahmen der pränatalen Diagnostik zu treffen und auf mögliche Herausforderungen vorbereitet zu sein.
